Эстетическая и
терапевтическая
стоматология

Лечение Кариеса


Кариес — коротко, что это такое.

Причина - налет.
Лучшая защита - гигиена.

Кариес эмали - это...

Кариес дентина - это...

Современные стандарты лечения

Вы получите максимальное внимание к своему здоровью и 
полную информацию о возможностях лечения и профилактики.

Безопасность

Используем лучшие технологии 
для стерилизации

Ответственность

Даем расширенную гарантию
на все виды лечения

Эффективность

Спасаем зубы любой степени сложности

Гибкий подход

Предлагаем несколько планов лечения - находим подходящий по бюджету

Совершенная эстетика

Добиваемся прекрасной эстетики,
чтобы Вы широко и уверенно улыбались

Честность

Стоимость лечения прозрачна,
предсказуема и не меняется

Оснащение клиники
имеет первоочередное значение


Мы знаем что личность врача в медицине первостепенна. Но современная медицина это не только знания и опыт, но и точное диагностическое оборудование, качественный инструмент, точная оптика и передовые материалы. Это то что определяет сейчас качество медицинских услуг, в том числе в стоматологии. 

За передовой стоматологической помощью
обращайтесь в клинику Адалдент.

Обнаружение кариеса на ранней стадии

Точная диагностика и контроль лечения

Ультразвуковые наконечники для обработки каналов

Коронки и мосты от собственной цифровой лаборатории

  • Стоматологический микроскоп

    применяется для лечения сложных корневых каналов
  • Скалер Acteon производства Франции

    удаления зубных отложений, лечения пародонта
  • Servotome Acteon

    применяется для бескровного рассечения тканей в хирургии
  • Физиодиспенсер последнего поколения производства Швейцария

    применяется для имплантологии
  • NOUVAG

    TCM - новейший эндодонтический прибор компании Nouvag для быстрой и эффективной подготовки корневого канала. Прибор был специально разработан с учетом пожеланий практикующих специалистов, учтены все пожелания профессионалов, а значит, нет сомнений в эффективности TCM

Каждый прибор решает точечные задачи. В комплексе применение данной техники позволяет повысить качество лечения зубов. А именно, улучшить и упростить стерилизацию каналов, обойтись менее травматичными процедурами, точнее провести манипуляции, обнаружить дефекты внутри эмали, увидеть то, что невозможно рассмотреть без многократного увеличения.

Двухэтапная анестезия
снимающая 100% неприятных ощущений

Апликационная анестезия - 
используется для подготовки области к уколу

Вы его не почувствуете

Инфильтрационная анестезия -
эффективно блокирует нервные импульсы

Комфорт пациента - удобство доктора

Материал для пломб.

Вы уверены в своей работе и даете длительную гарантию.

Пломбы будут стоять долго потому-что...
Этот пломбировочный материал хорош тем что ...

Связь с эмалью зуба

Пластичность

Оттенки

Устойчивость цвета

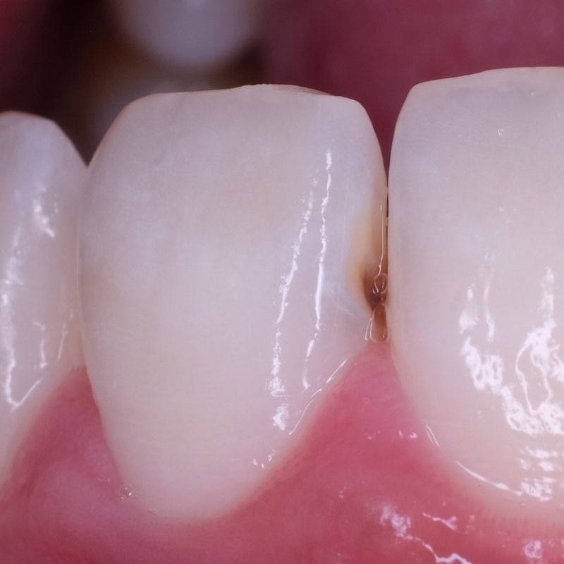
Лечение кариеса между зубами

Межзубный кариес жевательных зубов. Наиболее часто встречающийся вид, так как, пространства между жевательными молярами наиболее подвержены забиванию в них пищи. Сами пациенты редко могут заметить данное заболевание. Часто его устанавливают только при повреждении зубного корня.

Повреждение передних резцов легче определить самостоятельно, но испорченный внешний вид зубов заметен всем, и скрыть подобный изъян улыбки можно только с помощью специально подобранного лечения.

Лечение кариеса фиссур (жевательных зубов)

Фиссуры сами по себе имеют более темный оттенок, чем остальная поверхность эмали зуба. Это связано с тем, что они заполнены налетом, зубными бляшками, которые невозможно полностью удалить зубной щеткой, да и просто находятся в углублениях в тени бугров зуба. Все это часто маскирует фиссурный кариес и затрудняет его выявление.

Рентгенография позволяет обнаружить скрытый кариес фиссур, даже если отсутствуют любые симптомы. Снимок хорошо раскрывает участки поражения и их размеры, однако назначать его без подозрения врач не будет, и зачастую до появления болевых ощущений в зубе рентгенография не назначается.

Лечение глубокого кариеса

Острый глубокий кариес характеризуется кратковременными болями от разнообразных раздражителей. Часто полость имеет глубокий и узкий вход с широким основанием. Если бы вы могли поскрести стенки такой полости чем-то твердым (а стоматологи на приемах это делают регулярно), то заметили бы, что со стенок полости всегда обильно отделяется пластами размягченный инфицированный и пигментированный дентин.

Даже при наличии глубокой полости с размягченным дентином она может быть прикрыта «скорлупой» эмали и длительно находиться в труднодоступном для внешних раздражителей месте, например, на одной из контактных стенок зуба возле десны (то есть в межзубном промежутке). Только после отлома или откола значительной части эмали над кариозной полостью возможно классическое проявление острого глубокого кариеса с характерной для этого клиникой.

SIROInspect: безопасный и надежный мониторинг кариеса

Красная флуоресценция кариозных очагов: ключ к эффективному лечению

С помощью системы SIROInspect доктор быстро принимает верное решение в процессе экскавации благодаря особой флуоресценции поврежденного кариесом дентина.

Принцип прост: во время экскавации зонд подсвечивает зуб фиолетовым цветом (с примерной длиной волны 405 нм). Это сопровождается флуоресценцией продуктов кариозного разложения тканей зуба и здорового дентина.

Ваш комфорт - наша забота

Мы оборудовали клинику передовыми итальянскими креслами
в которых вы сможете занять максимально комфортное,
почти горизонтальное положение.

Длительная гарантия на лечение кариеса

Стала возможным благодаря:

  • Специальные приборы для диагностики кариеса
  • Применению оптики стоматологами
  • Применению лучших пломбировочные материалов
  • Следование европейским стандартам и протоколам лечения

Стоимость лечение кариеса:

Наименование В стоимость лечения входит Цена
Лечение среднего кариеса
апликационная анестезия перед уколом, анестезия (неограниченно), обработка кариозной поверхности, пломбировочный материал премиум класса, полировка, контроль прикуса, 1 год гарантия

15000 тг

Лечение глубокого кариеса
апликационная анестезия перед уколом, анестезия (неограниченно), обработка кариозной поверхности, пломбировочный материал премиум класса, полировка, контроль прикуса, 3-х летняя гарантия

17000 тг


Эстетическая реставрация зубов

Реставрация зубов композитным материалом

У нас работают одни из лучших специалистов в области эстетической стоматологии. Мы решаем сложные задачи по реконструкции зубов в зоне улыбки и восстановлению зубного ряда.

Мы сделаем Вашу улыбку широкой и уверенной.

  • лечение кариеса передних зубов
  • реставрация передних зубов
  • устранение сколов зубов
  • устранение межзубных промежутков
  • коррекция формы 
  • придания желаемого оттенка эмали

ПРИДАНИЕ ЖЕЛАЕМОГО ОТТЕНКА ЭМАЛИ

ЛЕЧЕНИЕ КАРИЕСА ПЕРЕДНИХ ЗУБОВ

УСТРАНЕНИЕ СКОЛОВ ЗУБОВ

КОРРЕКЦИЯ ФОРМЫ

УСТРАНЕНИЕ МЕЖЗУБНЫХ ПРОМЕЖУТКОВ

РЕСТАВРАЦИЯ ПЕРЕДНИХ ЗУБОВ


Прочность

Благодаря прочности материала восстановленный зуб спокойно выдержит ежедневные жевательные нагрузки

Повторение анатомии зуба

Пломбировочный композит накладывается поэтапно, что позволяет воссоздать естественную форму и цвет зуба

Сохранение эстетики

Композитные материаллы устойчивы к окрашиванию и внешнему
воздействию

Гипоаллергенность

Для эстетической реставрации применяются материалы не имеющие компонентов которые могут вызвать раздражение мягких тканей

Принимающие врачи


Канаева Наталья Юрьевна

Стоматолог - терапевт

Куаналы Абылайхан Габитович

Хирург - Терапевт

ОТПРАВЛЯЯ ЛЮБУЮ ФОРМУ НА САЙТЕ, ВЫ СОГЛАШАЕТЕСЬ С ПОЛИТИКОЙ КОНФИДЕНЦИАЛЬНОСТИ