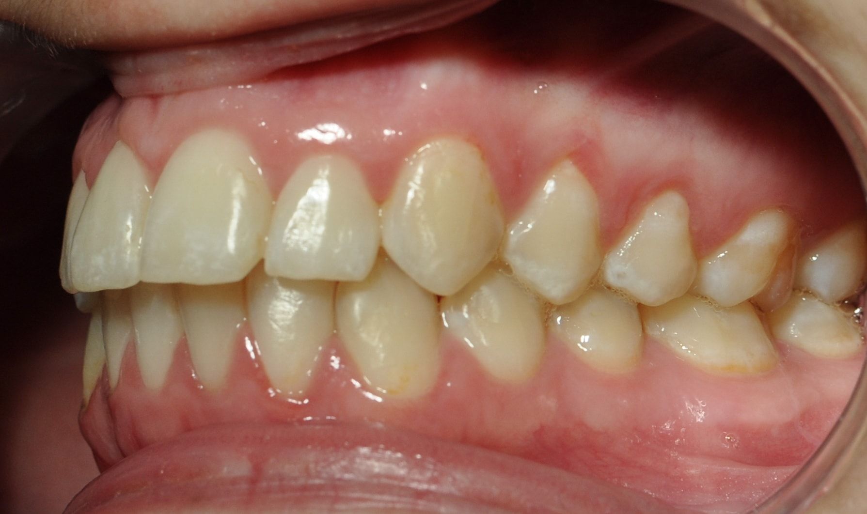
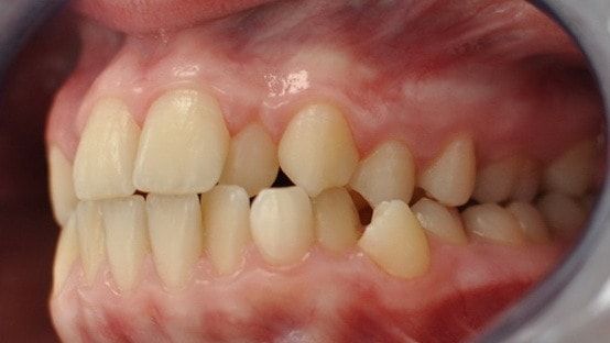
Положением зубов можно управлять


Их направление остается гибким
и поддается коррекции на протяжении всей жизни

Брекеты с внешним расположением
Вестибулятные брекеты

Брекеты с внутренним расположением
Лингвальные брекеты

Сменные капы для коррекции прикуса


маленькие и гладкие, не натирают десну

самые эффективные, сокращают срок лечения

доступные, самое экономное решение


едва заметные

комбинируется с металлическими брекетами

немного дороже металлических


незаметны для окружающих

дикция требует привыкания

более длительное лечение


незаметны для окружающих

легко снимается и надевается

исправляет небольшие патологии

требует дисциплины

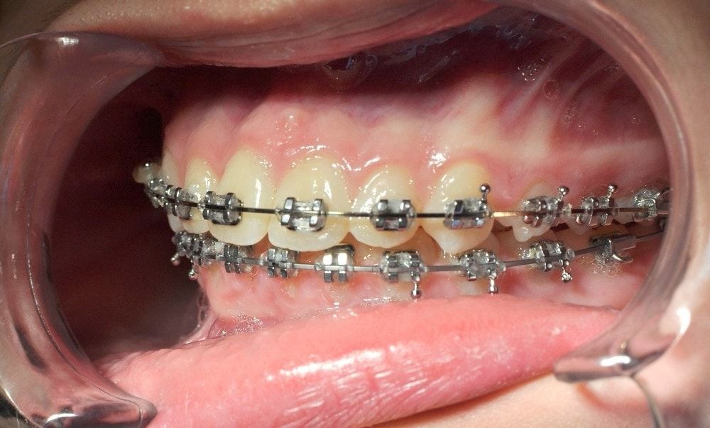
Металлические брекеты Damon Q


  • комфорт
  • высокая эффективность
  • низкая стоимость

Разработанные фирмой Ормко (США), это металлические самолигирующие (безлигатурные) брекеты, являются самыми современными и эффективными брекетами на данное время. Изготовлены из прочной нержавеющей стали. Подходят для лечения зубочелюстных аномалий как в подростковом, так и зрелом возрасте.

Сапфировые и керамические брекеты Damon Clear


  • эстетика
  • комфорт
  • высокая эффективность

Цена керамических и сапфировых брекетов выше, чем стоимость классических металлических конструкций, но они менее заметны. Их изготавливают из высокопрочной керамики и прозрачного сапфира, по цвету и структуре схожей с натуральной зубной эмалью. Время лечения этими системами ничем не отличается от лечения металлическими брекетами и в среднем занимает 1,5-2 года.

Невидимые немецкие брекеты "Incognito"

Незаметные брекеты – лингвальные, устанавливаемые на внутреннюю сторону зуба. Лингвальные брекеты изготавливаются из золотосодержащего сплава в лаборатории за границей по индивидуальным слепкам.  Сложность их использования заключается в том, что они требуют привыкания. Такие брекеты не устанавливают при коротких передних зубах и сильно выраженных формах нарушения прикуса.

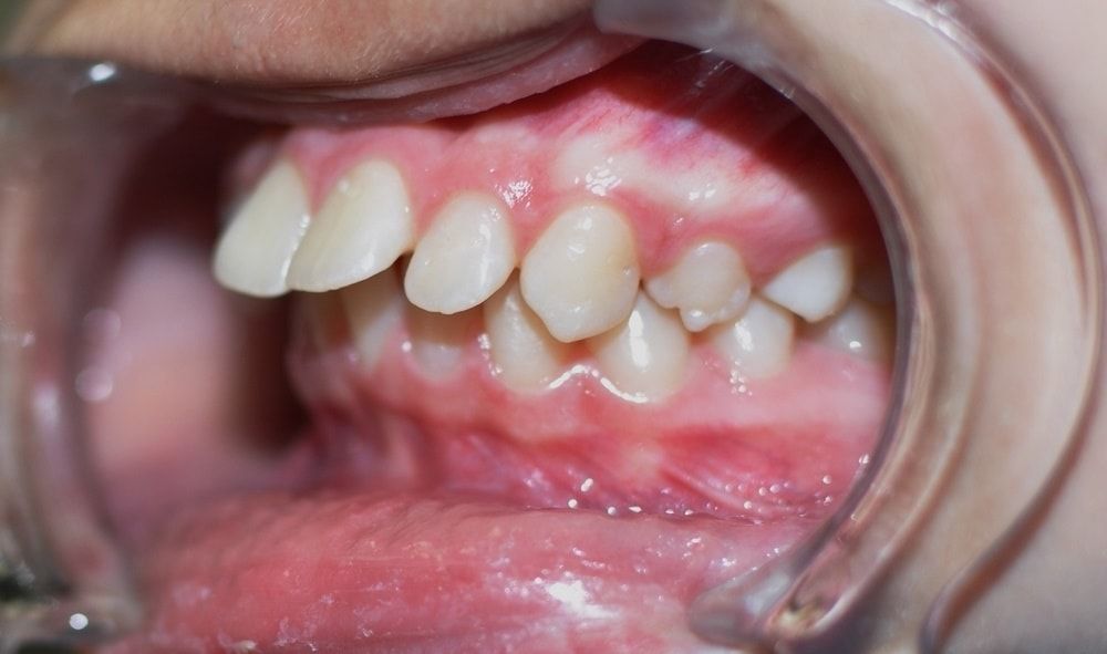
Элайнеры - каппы для выравнивания зубов

Незаметные брекеты – лингвальные, устанавливаемые на внутреннюю сторону зуба. Лингвальные брекеты изготавливаются из золотосодержащего сплава в лаборатории за границей по индивидуальным слепкам.  Сложность их использования заключается в том, что они требуют привыкания. Такие брекеты не устанавливают при коротких передних зубах и сильно выраженных формах нарушения прикуса.

  • Незаметны для окружающих
  • Удобны в использовании. Пациент сам снимает и одевает их, соответственно можно без проблем чистить зубы как обычно и принимать пищу.
  • Изготовление кап идет через этап 3D моделирования, так что до начала лечения пациент может увидеть свой конечный результат.
  • За счет небольшого разобщения прикуса идет расслабление сустава, так что подходят для лечения пациентов с дисфункцией височно-нижнечелюстного сустава.
  • Капы изготавливаются из биоинертного материала, поэтому совершенно не вызывают аллергии.
  • В отличие от брекетов капы сделаны по зубам и абсолютно гладкие, так что не натирают как десну, так и слизистую губ и щек.

О красоте Вашей улыбки позаботятся:

Канаева Наталья Юрьевна

Стоматолог - терапевт

ОТПРАВЛЯЯ ЛЮБУЮ ФОРМУ НА САЙТЕ, ВЫ СОГЛАШАЕТЕСЬ С ПОЛИТИКОЙ КОНФИДЕНЦИАЛЬНОСТИ