Верните себе улыбку

Имплантация зубов в Вашем городе

Самый лучший способ восстановление утраченных зубов это имплантация.

Мы восстановили недостающие зубы более чем 5 000 жителей нашего города и по праву считаемся одной из ведущих клиник в области имплантации зубов.

Поможем в любом случае

Восстановление зуба на имплантате

Установка моста на двух имплантатах

Восстановление челюсти на 4-х
или 6-ти имплантатах

В нашей клинике есть полный набор методов для возвращения Вам красивой и здоровой улыбки!

Атравматичное удаление зуба

Удаление зуба с сохраниением окражающего его стенок лунки и перегородок. Это облегчает заживление и позволяет установить имплантат сразу после удаления зуба.

Имплантация

Имплантология - это восстановление утраченных зубов методом вживления в челюсть титановых аналогов корней зубов.

Костная пластика

Увеличение объема кости для надежной пожизненной фиксации в ней имплантата.

Классическая имплантация с отсроченной нагрузкой

Имплантация с отсроченной нагрузкой – отличное решение для восстановления зубов при их давней потере, серьёзных разрушениях. Данный метод обеспечивает надёжность конструкции и успешное приживление имплантата в 98% случаев.

Это традиционный способ размещения имплантата, проверенный временем. Имплантация и установка коронки проходят в несколько этапов, перерыв между ними составляет до полугода. За это время имплантат срастается с костной тканью, после этого он готов к дальнейшей нагрузке ортопедической конструкцией.

Установка и приживление имплантата

Хирург вживляет в кость имплантат из титана.
Операция занимает около 20 минут. Вместе с подготовкой, анестезией и наложением швов около 1 часа. Интеграция имплантата занимает от 2-х до 6-ти месяцев.
 

Устанавливается формирователь десны

Через несколько месяцев, после приживления имплантата, 
на него устанавливается титановый колпачек. Он готовит десну к появлению в этом месте нового зуба.
 

Спустя 2 недели снимаем слепки

 Снимаем слепки и передаем в собственную зуботехническую лабораторию для 3D проектирования и производства коронок.

Установка коронки

Откручиваем формирователь десны и устанавливаем индивидуально спроектированный абатмент и коронку. В результате зуб неотличим от настоящего и имеет надежный корень в виде срощенного с костью титанового имплантата.
 

имплантация зубов позволяет сохранить соседние зубы от обтачивания под мостовидные протезы

установленный имплантат разгружает соседние зубы, тем самым увеличивая их срок службы

когда имплантаты прижились, вы не чувствуете их как что-то инородное, полностью имитируют зубы человека

Имплантация с немедленной нагрузкой

За один визит доктор проведёт осмотр, удалит зуб, установит имплантат и временную коронку.

Если вы очень переживаете из-за предстоящего удаления зуба и хотите как можно быстрее его восстановить – вам подойдёт имплантация с немедленной нагрузкой.

Для немедленной имплантации применяют модели с более агрессивной резьбой дающие высокую первичную стабильность. 

Вы выйдите из клиники с новым зубом

Удаление зуба и установка имплантата в один визит

Установка временной коронки сразу после имплантации

Мы устанавливаем проверенные имплантаты ведущих производителей. Внимательно следим за развитием передовых методик и предлагаем лучшее решение в разных ценовых сегментах.

  • Муржанов Нурлыбек Маликакбарович

    хирург-имплантолог

Полная остоинтеграция в 99% случаев

Мы добиваемся почти 100% остоинтеграции за счет точного анализа состояния костной ткани и строгого соблюдения протоколов производителей имплантов. 

Имплантат интегрируется в костную ткань и при соблюдении правил гигиены прослужит всю жизнь.

Стоимость дентальной имплантации:
Наименование В стоимость лечения входит
Установка имплантата
анестезия (неограниченно), имплантат, установка имплантата, серия осмотров
Установка имплантата Cortex
анестезия (неограниченно), имплантат, установка имплантата, серия осмотров

Костная пластика


Увеличение объема костной ткани для уверенной фиксации имплантата

После удаления зуба из-за отсутствия необходимой нагрузки на челюсть, кость в пустующем месте атрофируется. В этом случае перед имплантацией необходимо восполнить объем костной ткани.

Отсутствие осложнений

Ультразвуковой скальпель намного менее травматичен чем классический бор.

Ускоренное восстановление

Костная ткань максимально сохраняется, поэтому реабилитация займет меньше времени

Мы проводим операции по наращиванию костной ткани только с пьезоскальпелями. Это  позволяет хирургу проводить операции на кости точно, дозировано, без усилий. Работа с костью проходит легче благодаря большому количеству насадок под конкретную задачу, уменьшая человеческий фактор. И второй фактор, такой инструмент не травмирует мягкие ткани, отек после имплантации будет меньше и пройдет быстрее.

Синус лифтинг


После удаления зуба из-за отсутствия необходимой нагрузки на челюсть, кость в пустующем месте атрофируется. В этом случае перед имплантацией необходимо восполнить объем костной ткани.

Разновидность костной пластики направленной на увеличение объема костной ткани верхней челюсти в районе гайморовых пазух.

Открытый синус лифтинг

Открытый синус-лифтинг применяется, когда для установки имплантата не хватает более 3 мм костной ткани. При проведении этой операции имплантация в ряде случаев возможна только после полного восстановления кости челюсти.

Закрытый синус лифтинг

Закрытый синус-лифтинг подходит для наращивания небольшого объема костной ткани (1-3 мм). Он менее травматичен, чем открытый. Подсадка костного материала проводится через небольшое отверстие для имплантата.

При закрытом типе синус-лифтинга имплантация проводится сразу. Вам не придётся лишний раз посещать стоматолога.

  • до синус-лифтинга

  • после синус-лифтинга

  • после установки имплантатов в верхнюю челюсть

  • коронки установленные на имплантаты

  • до синус-лифтинга

  • после синус-лифтинга

  • после установки имплантатов в верхнюю челюсть

Стоимость операций по увеличению объема кости:
Наименование В стоимость лечения входит
Открытый cинус-лифтинг (1 зона) без учета материала
диагностика, анестезия (неограниченно), операция по наращиванию костной ткани в области дна верхнечелюстного синуса с целью последующей имплантации, серия послеоперационных осмотров
Закрытый cинус-лифтинг (1 зона) без учета материала
диагностика, анестезия (неограниченно), операция по поднятию дна верхнечелюстного синуса с помощью остеотомов, наложение швов, серия послеоперационных осмотров
Пластика костной ткани (1 блок)
диагностика, анестезия (неограниченно), подготовка принимающей области, подготовка донорской области, забор костного блока, фиксация его с помощью специальных винтов, наложение швов, серия послеоперационных осмотров
Направленная регенерация костной ткани (в области 1 зуба) без учета материала
диагностика, анестезия (неограниченно), разрез, забор аутокостного материала, наложение швов, фиксирующие пины, серия послеоперационных осмотров
Расщепление альвеолярного гребня
диагностика, анестезия (неограниченно), разрез, забор аутокостного материала, наложение швов, фиксирующие пины, серия послеоперационных осмотров
Имплантация барьерной мембраны
диагностика, анестезия (неограниченно), разрез, забор аутокостного материала, наложение швов, фиксирующие пины, серия послеоперационных осмотров

Протезирование на имплантах

Одиночная коронка и абатмент из циркония

Одиночная коронка и абатмент из циркония

Зубной мост из циркония для протезирования на имплантатах

Зубной мост из циркония для протезирования на имплантатах

Зубной ряд из циркония с реалистичной с имитацией десны для протезирования на имплантатах

Зубной ряд из циркония с реалистичной с имитацией десны для протезирования на имплантатах

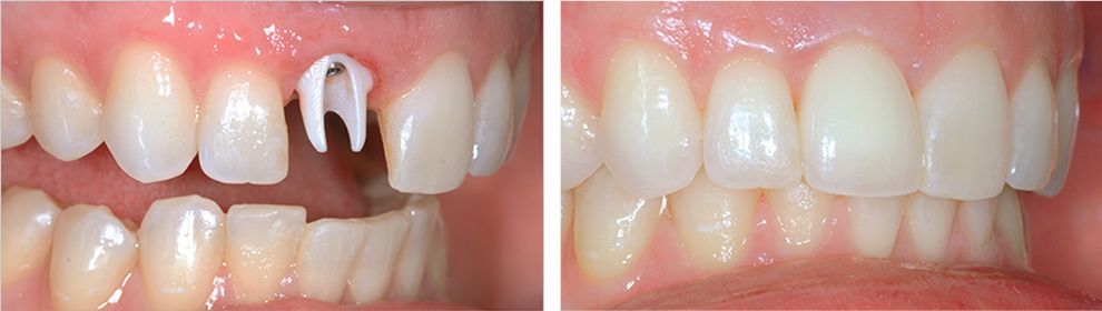
Протезирование - установка коронки на имплантат


Финальный этап восстановления зубного ряда, крепление коронковой части зуба к вросшему в костную ткань титановому основанию - имплантату.

При протезировании на имплантатах модель челюсти и конкретного зуба, и моста и всей челюсти строится в программах 3D проектирования. Они позволяют точно рассчитать высоту и ширину коронки и длину абатмента, основания соединяющего коронку с имплантом.

Коронки и абатменты изготавливаются индивидуально, по 3D модели челюсти пациента.


3D моделирование и точность фрезерного оборудования позволяет создавать конструкции которые сразу идеально устанавливаются и не меняют привычный прикус пациента, что нередко происходит при установке металлокерамических коронок изготовленных методом литья.

Протезирование при полной адентии


Все на четырех или шести имплантах (all on 4 / all on 6)

Восстановление зубов по технологии All on 4 занимает один день. Потребуется внимательно изучить состояние костной ткани и выбрать места для установки 4 имплантатов на которых в тот-же день установят временную челюсть.

Постоянная челюсть фиксируется на имплантаты через 4-6 месяцев, после полного сращивания их с костью.

Коронки и абатменты из диоксида циркония

Более дорогой и наиболее предпочтительный вариант. Вы уже наверняка наслышаны о том, что из циркония делаются коронки и мосты. Этот материал применяется и для абатментов тоже. Его плюсы распространяются на оба компонента. А белый цвет материала смотрится под десной красиво и естественно.

Здоровая десна вокруг импланта

Цирконий естественно взаимодействует с десной, мягкие ткани прекрасно с ним контактируют, плотно прилегая без раздражений.

Продлевает срок службы имплантата

Цирконий препятствует росту бактерий, они в меньшем количестве задерживаются на его поверхности

Одиночная коронка и абатмент из диоксида циркония

Одиночная коронка и абатмент из диоксида циркония

Надежное соединение

Прочность этого материала очень высока, он выдерживает любые нагрузки.

Цифровая точность

Проектируется и изготавливается с применением передовых цифровых CAD/CAM технологий.

Цирконий или медицинский титан

Оба материала распространены в медицине и в стоматологии. Их отличия лежат в плоскости эстетики и вероятности распространения опасной для имплантата микрофлоры на их поверхности.


Мы можем выбрать один из двух материалов из которых будет выполнен абатмент. Их взаимодействие с десной и бактериальной средой отличаются. Общее правило работает и здесь, более дорогой материал повышает защиту импланта от бактерий и снижает вероятность переимплантита. 

производство на фрезерном станке абатмента по 3D модели

производство на высокоточном фрезерном станке индивидуального абатмента по 3D модели

Титановая заготовка абатмента на промежуточном этапе

титановая заготовка абатмента на промежуточном этапе

готовый абатмент из медицинского титана на инструменте

готовый абатмент из медицинского титана на инструменте

Соединение коронки и имплантата через индивидуальный абатмент

Важнейшая часть в протезировании на имплантатах, от которой зависит срок службы импланта. Именно на абатмент приходится вся жевательная нагрузка на протяжении всего срока службы ваших новых зубов. Он находится в самой опасной зоне подверженной скоплению бактерий и от его качеств и технологии крепления зависит надежность и долговечность конструкции. Малейшее отклонение от стандартов производителя приводит к росту зазоров и развития в них патогенной флоры или физическому повреждению имплантата.

Тип и точность соединения

Самые лучшие импланты имеют уникальное соединение с зазорами в несколько микрон. Такое соединение не допускает увеличения люфта и развития в ней бактериальной среды.

Только оригиналы

На рынке присутствуют не оригинальные решения. Их применение помогает съэкономить в краткосрочном моменте, но в долгосрочной перспективе, их применение подвергает пациента риску облома имплантата или развития патогенной среды в зазорах.

срок службы импланта зависит от выбора абатмента и типа крепления

Высота абатмента

Или глубина установки импаланта. Это решение вашего доктора, оно принимается по каждому случаю. Наметилась тенденция устанавливать импланты глубже, удлиняя абатменты, делая своего рода препятствия для бактериальной флоры. Решение о расположении имплантата полностью зависит от объема кости и мягких тканей. Доверьтесь в этом хирургу и если поступит предложение провести платику десны, увеличив её объем, поддержите его предложение, это защитит имплантат от агрессивной микрофлоры.

Стоимость протезирования на имплантатах

Одиночные коронки с установкой на имплантаты

Наименование В стоимость лечения входит
Металлокерамическая коронка на
титановом абатменте
рентгеновские снимки (при необходимости), анестезия (неограниченно), изготовление слепков, фиксация на цемент двойного отверждения
Циркониевая коронка на
титановом абатменте
Циркониевая коронка на циркониевом абатменте
Цельнокерамическая коронка на циркониевом абатменте

Мосты на 2-5 зубов с установкой на имплантаты

Наименование В стоимость лечения входит
Мост из металлокерамики на 3 зуба
на титановом абатменте
рентгеновские снимки (при необходимости), анестезия (неограниченно), изготовление слепков, фиксация на цемент двойного отверждения
Мост на 3 зуба из диоксида циркония с креплением на титановых абатментах
Мост на 3 зуба из диоксида циркония с креплением на абатментах из циркония

Комплексное протезирование all on 4 / all on 6

Наименование В стоимость лечения входит Цена
Комплексная имплантация одной челюсти с использованием 4 имплантатов системы Nobel
Одноэтапная комплексная имплантация при полной адентии одной челюсти, включая первичную металлопластиковую несъемную конструкцию. Удаление зубов и установка всех имплантатов происходит за одну операцию.

 

 

ОТПРАВЛЯЯ ЛЮБУЮ ФОРМУ НА САЙТЕ, ВЫ СОГЛАШАЕТЕСЬ С ПОЛИТИКОЙ КОНФИДЕНЦИАЛЬНОСТИ